Replace your missing teeth with dental implant treatment
Dental implants
At Brynteg Dental we lovingly restore smiles with gentle precision and friendly care, right here in West Wales.

Dental Implants in West Wales
Experience the transformative power of dental implants, offering a permanent solution for missing teeth.
Across our practices in West Wales our team provide all-on-4 and all-on-6 dental implants, offering lasting full-mouth restorations.
Our competitive dental implant costs and personalised care make us the top choice for your dental implant treatment. Discover the confidence of a complete smile with our expert team today.

What are dental implants?
Dental implants are artificial tooth roots, similar to screws, that are placed into the jawbone.
Options include single tooth implants, implant-retained dentures, all-on-4, and all-on-6 dental implants.
The process involves placing the implant, allowing time for integration, and then attaching a custom-made crown. This results in a natural-looking and functional replacement for missing teeth, enhancing both aesthetics and oral health.
Speak to our team to find the best treatment option for you.

How much do dental implants cost?
The cost of dental implants varies depending on the complexity of your treatment. Discount is given for two or more dental implants placed. For full-mouth dental implants, all-on-4 and all-on-6 procedures, speak to our experience dentist for a tailored treatment plan.
Visit our pricing page for dental implant prices.
We also offer flexible finance options to make your dental implants cost more affordable.

What do dental implants include at Brynteg Dental?
Book an appointment
Simply contact one of our practices to schedule your dental implant consultation with our experienced dentists.
Starting your dental implant treatment
During your first appointment we’ll take digital scans and X-rays, where required, to assess your dental needs.
Treatment and aftercare
Our wider team will be on hand throughout your dental implant treatment to answer your questions and provide aftercare.
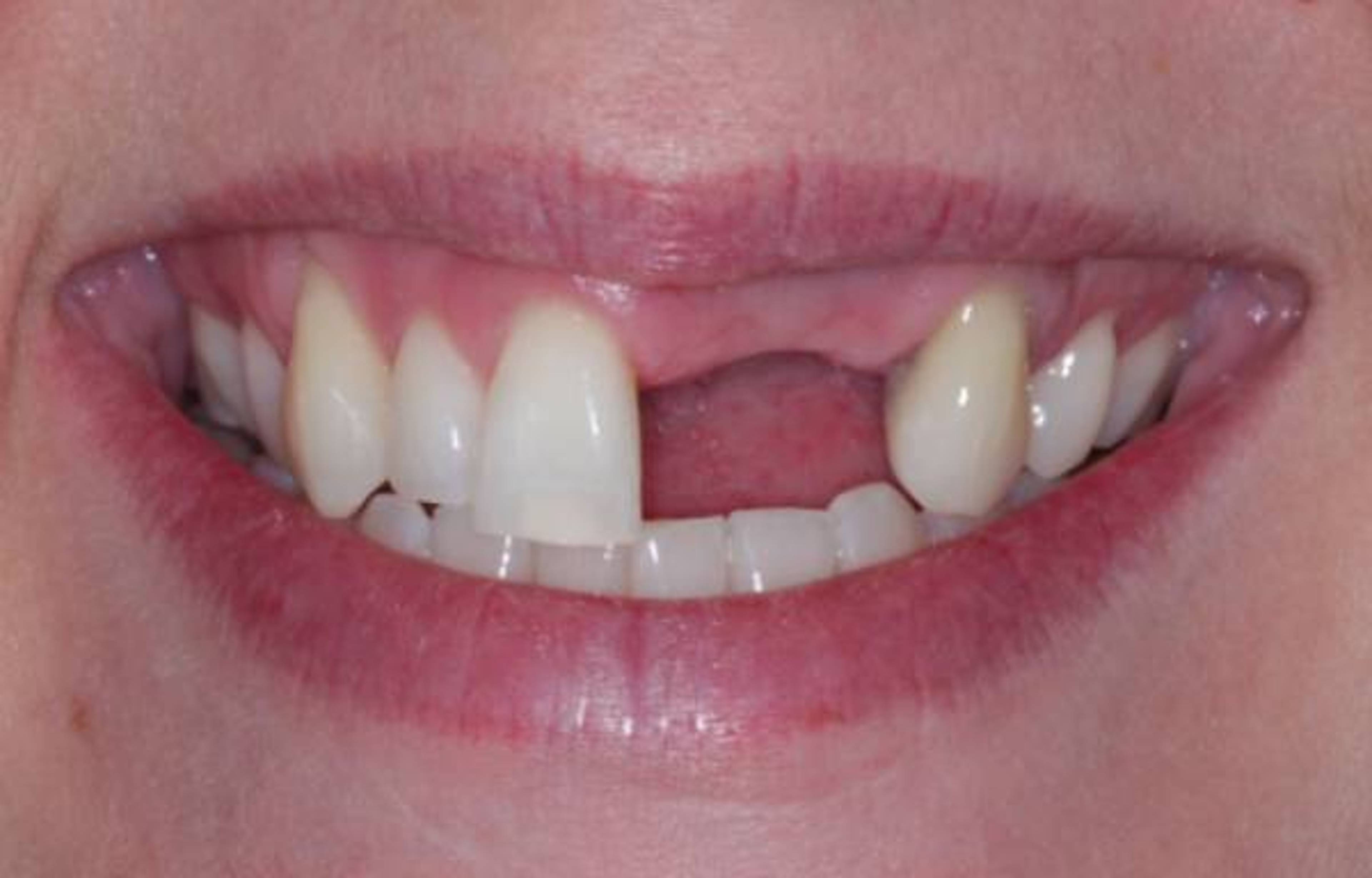
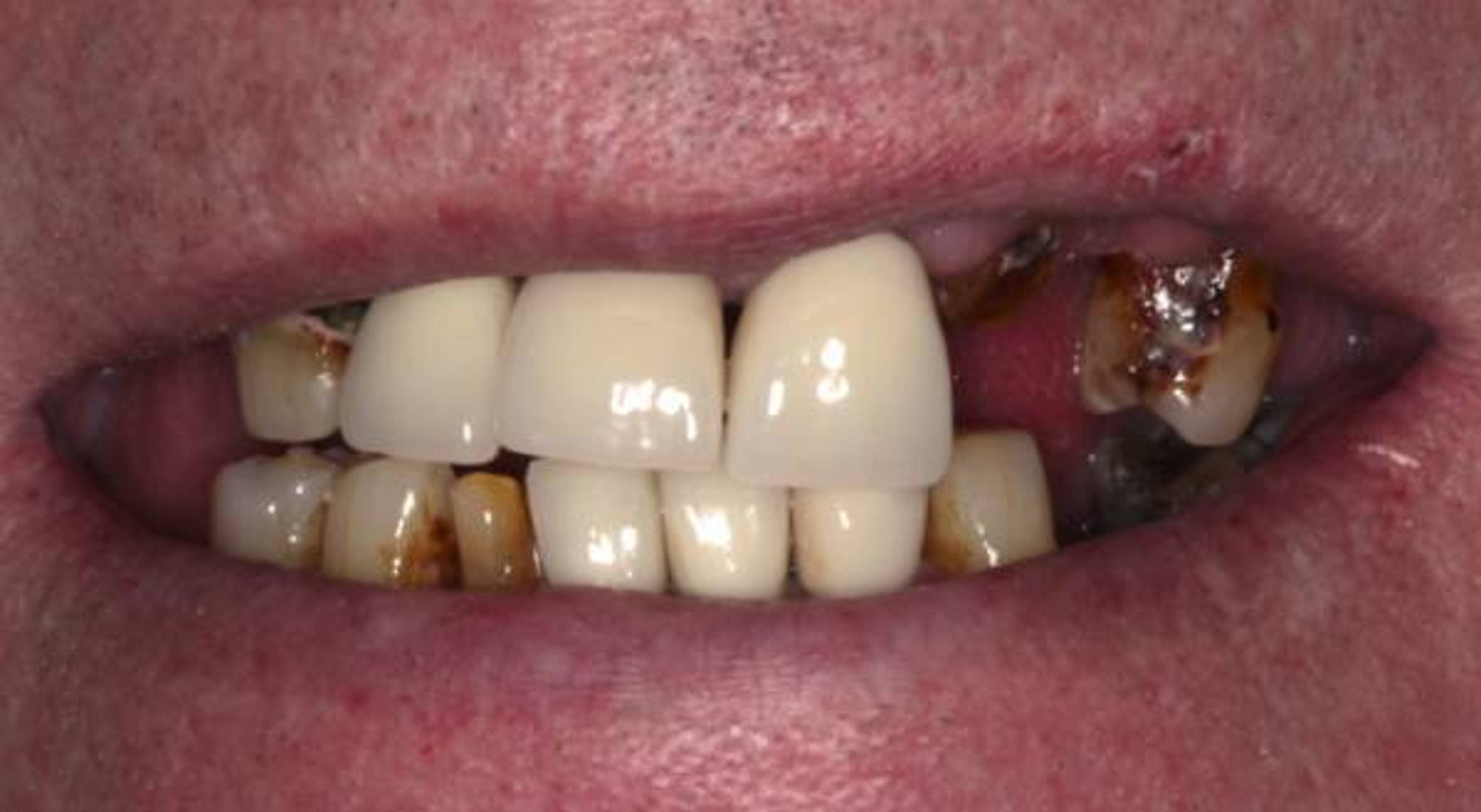
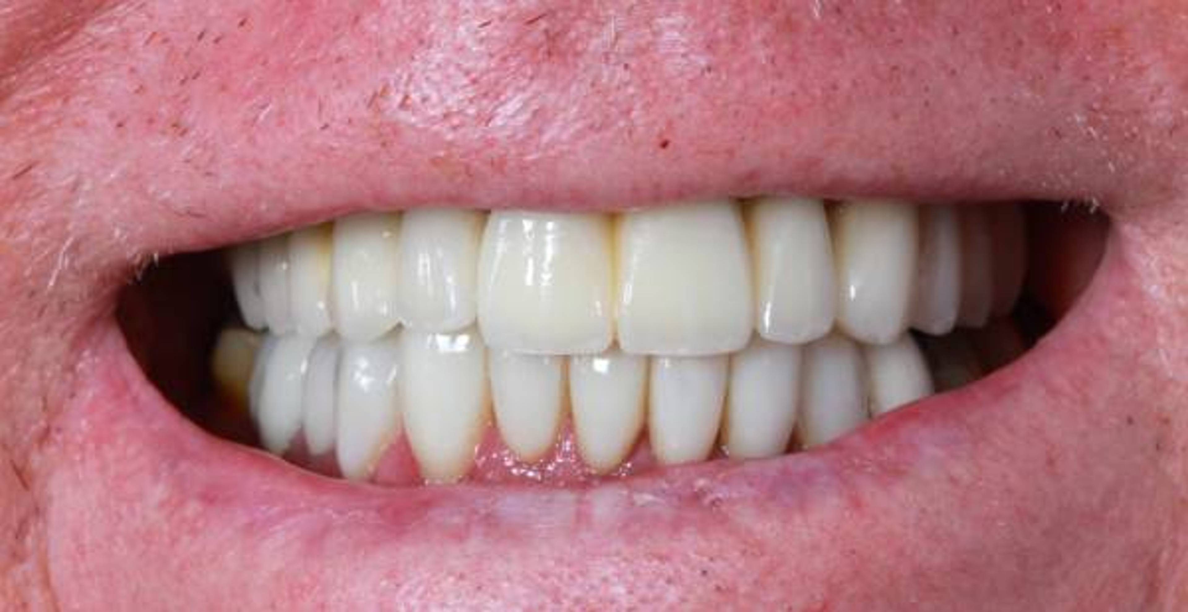
Dental implant smile gallery


This was a life changing smile transformation for our client, who replace their denture with a dental implant bridge.


We were delighted to support our client in restoring their overall oral function and enjoyment of food again, as well as gaining confidence with their new smile.


This transformation not only changed our clients smile, it also restored their chewing ability and enjoyment of food.
Do I need dental implants?
You may need dental implants if you have lost a tooth or multiple teeth due to injury, decay, or other dental issues.
Your dentist will recommend dental implants if your jawbone is healthy enough to support them, offering a permanent solution to restore both function and appearance.
Dental implants solve the problem of missing teeth, improving your smile and bite while enhancing overall oral health.

The benefits of dental implants
Permanent solution for missing teeth
Improve chewing functionality
Enhance natural-looking appearance
Preserve jawbone and oral health

Dental implants from experienced dentists in West Wales
Our experienced team have been providing dental implant solutions for over 15 years. We are highly trained in advanced implant procedures and offer gentle care tailored to your needs. You’ll find a comfortable and welcoming environment designed to make your experience as smooth and stress-free as possible.

Meet your clinician
Discover dental implant solutions that work for you
We’re here to make you feel at ease and guide you every step of the way. Book your consultation with our friendly team to discuss your dental implant options. During your visit we’ll assess your dental needs, explain the dental implant process, and provide you with a detailed treatment plan.